Niềng răng – Khắc phục răng khấp khểnh là một phương pháp hiệu quả để điều chỉnh và cải thiện hình dáng của răng. Hãy cùng tìm hiểu về việc niềng răng và cách nó có thể khắc phục hiệu quả vấn đề này.
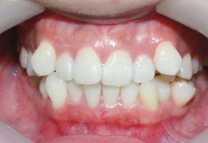
Răng khấp khểnh – Vấn đề cần được giải quyết
Răng khấp khểnh có thể gây ra không chỉ vấn đề về thẩm mỹ mà còn ảnh hưởng đến chức năng của răng. Gây ra khó khăn trong việc nhai và làm sạch răng. Điều này có thể dẫn đến các vấn đề về sức khỏe răng miệng như mảng bám, viêm nướu và thậm chí là mất răng.
Niềng Răng – Khắc phục răng khấp khểnh hiệu quả
Niềng răng là một quá trình điều chỉnh vị trí của răng bằng cách sử dụng các phương pháp hiện đại. Quá trình niềng răng theo từng bước cụ thể, dựa trên đánh giá cận lâm sàng để đạt được kết quả tối ưu.
Lợi ích của niềng răng khấp khểnh
Cải Thiện Thẩm Mỹ: Niềng răng giúp cải thiện hình dáng của răng, mang lại nụ cười đều và đẹp .
Tăng Cường Chức Năng: Răng được điều chỉnh vị trí để cải thiện chức năng nhai và dễ dàng làm sạch.
Phòng Ngừa Vấn Đề Sức Khỏe Răng Miệng: Giúp ngăn ngừa các vấn đề như viêm nướu, mảng bám và mất răng,…
Quy Trình Niềng Răng
- Đánh Giá Ban Đầu: Bác sĩ sẽ thực hiện một cuộc đánh giá kỹ lưỡng về tình trạng răng của bạn và đề xuất phương án điều trị phù hợp.
- Lập Kế Hoạch Điều Trị: Quyết định về phương pháp niềng răng và lên kế hoạch chi tiết dựa trên tình trạng của từng cá nhân.
- Thực Hiện Quy Trình Niềng Răng: Với sự theo dõi chặt chẽ từ bác sĩ để đảm bảo kết quả tốt nhất.
Niềng răng đã chứng minh được hiệu quả trong việc khắc phục răng khấp khểnh. Mang lại không chỉ vẻ đẹp mà còn sức khỏe cho răng miệng.
Chế độ ăn uống sau khi niềng răng
Những ngày đầu mới niềng răng, bạn nên lựa chọn những thực phẩm mềm, lỏng như: sữa, cháo, súp,…
Khi răng đã ổn định và quen dần thì có thể ăn uống bình thường. Cần tránh những thức ăn cứng, giòn, dai, dính. Thay vào đó, hãy cắt thức ăn thành miếng nhỏ, nhai răng bằng hàm, ăn chậm,…
Liên hệ ngay với Nha Khoa Dr.Cường
Nếu bạn đang quan tâm đến việc niềng răng? Hãy liên hệ với Nha Khoa Dr.Cường. Chúng tôi cam kết mang đến cho bạn giải pháp tối ưu nhất và sức khỏe răng miệng lâu dài.
🏬 CS1: 29 Giang Cao – Bát Tràng – Gia Lâm – Hà Nội.
☎️ Hotline: 0976.358.286
🏬 CS2: S208 Vinhomes OceanPark – Gia Lâm – Hà Nội.
☎️ Hotline: 096.8888.105
🏬 CS3: 150 Thuỷ Nguyên – Ecopark – Gia Lâm – Hà Nội.
☎️ Hotline: 0965.485.669




